Coronavirus: oltre 50mila morti nel mondo, i contagi verso quota 1 milione
Il numero dei morti per Coronavirus nel mondo ha superato la soglia dei 50 mila. Il drammatico dato emerge dal...
Il numero dei morti per Coronavirus nel mondo ha superato la soglia dei 50 mila. Il drammatico dato emerge dal...
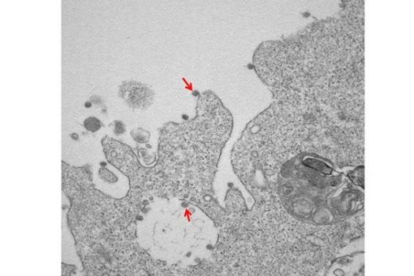
Il SarsCoV2 ha finalmente un'immagine, il virus che sta spaventando l'intero mondo ed è stato isolato in Italia. Infatti secondo...
Stop ai pedaggi autostradali su tutte le tratte gestite da Autostrade per l'Italia per gli operatori sanitari impegnati per l'emergenza coronavirus....
Secondo quanto si apprende da una nota dell'agenzia "Adnkronos", la Germania teme di rimanere senza pasta a causa dell'emergenza coronavirus, tanto che...
"Mi auguro che per il mese di maggio la situazione migliori ma niente facili ottimismi. Per maggio mi auguro che...
Stefano Sorrentino, ex portiere del Palermo, intervenuto in diretta Instagram sulla pagina di Ilovepalermocalcio (CLICCA QUI) ha parlato così: «Mio...
Secondo quanto si apprende dall'agenzia "Adnkronos", sta riscuotendo grande successo ed ha superato le 382.000 firme la petizione online contro Barbara D'Urso (CLICCA...
Paura a Ostia per due anziani che sono stati derubati in casa da due truffatori cileni. Secondo quanto riporta "Il...
«La salute viene prima di ogni cosa. Perché dobbiamo giocare se nel mondo c'è gente che rischia la vita? Eppure...
Stefano Sorrentino, ex portiere del Palermo, intervenuto in diretta Instagram sulla pagina di Ilovepalermocalcio (CLICCA QUI) ha parlato così: «Zamparini sa...